Conciencia en pacientes con lesiones cerebrales se puede detectar
La conciencia en pacientes con lesiones cerebrales pueden detectarse con escáneres cerebrales sofisticados. Los exámenes normales dejan pasar por alto señales que el paciente...
Las enfermedades más frecuentes al volver al colegio
Ya se acabaron las vacaciones de verano y con ello hay que mandar de nuevo a nuestros niños al colegio, pero a veces los...
Yoga en el embarazo: cuerpo, mente y espíritu conectados para el crecimiento del bebé
El yoga en el embarazo es una de las tendencias de este siglo para todo el mundo. Estudios recientes muestran que los beneficios durante...
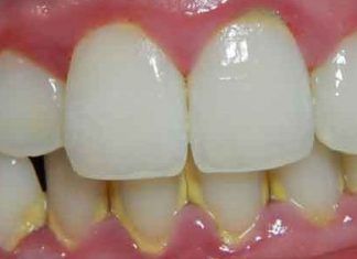
Esta es la forma más fácil de quitar manualmente el sarro
¿Cómo se forma el sarro en los dientes? En la boca, después de las comidas, cada vez que se produce la placa de las...
Obligatorio es el consumo de estos elementos para una vida larga y sana
Con relación y con lo que dijo el Instituto Nacional de Nutrición (INN), el ingerir de vegetales y frutas auxilian a purificar el organismo, ya...
La FXPOI o pérdida de la función normal de los ovarios
La FXPOI es el término que se utiliza para la pérdida de la función normal de los ovarios. De hecho, sucede en mujeres de...
Descubre el por qué es importante la Linaza en nuestras vidas
Se le atribuye el nombre a la semilla de la planta de lino. Con la linaza se extrae un aceite vegetal el cual es uno de...



































